Novel side-by-side transcatheter valve solution for ACHD: Case study of patient with pulmonic regurgitation

Novel double-valve strategy: A 54-year-old with severe pulmonic regurgitation and dilated pulmonary arteries, unsuitable for standard TPVR, was treated with side-by-side transcatheter valves. Learn about this first-in-literature technique for complex ACHD.

Author: Norton Children’s

Published: November 26, 2025

The patient

A 54-year-old man with chronic severe pulmonic regurgitation due to history of valvar pulmonary stenosis, the patient had a Brock procedure at age 8. Right heart failure symptoms included dyspnea, early satiety, ascites and peripheral edema, qualifying as New York Heart Association Class III heart failure.

A cardiac MRI showed a severely dilated right ventricle, normal right ventricular ejection fraction of 50% and a pulmonary regurgitant fraction of 36% (severe). Transthoracic echocardiogram showed moderate stenosis of the right ventricular outflow tract, with a peak instantaneous gradient of 41 mmHg. Metabolic stress testing demonstrated severe impairment of exercise capacity with peak VO2 of 11.4 ml/kg/minute.

Angiogram of the right pulmonary artery (RPA) during systole (left) and diastole (right) showing a severely dilated RPA that is dynamic and enlarges with systole.

The challenge

The patient was a poor surgical candidate due to multiple noncardiac comorbidities. A typical transcatheter pulmonary valve replacement (TPVR) was attempted in the pediatric cardiac catheterization lab but failed due to distortion of the aortic root during compression testing. A strategy sometimes used in this situation is to place two separate transcatheter pulmonary valves, one in each branch pulmonary artery when the main pulmonary artery is not suitable. However, in this patient’s case, the right and left pulmonary arteries were severely dilated with dynamic expansion, and the right pulmonary artery diameter was too large for a single transcatheter valve.

The solution

To reduce the right pulmonary artery diameter, a novel technique was devised by the pediatric cardiac catheterization team. Side-by-side transcatheter valves were placed in the right pulmonary artery in a superior-inferior orientation. This was the first time this technique had been described in the literature.

The procedure:

  • Two Cook XL 4010 stents were placed in superior-inferior orientation simultaneously (deployed at 18 millimeters and 20 millimeters respectively).
  • Inferior stent migrated distally; superior stent kept secure by leaving balloon inflated.
  • Wire position was lost across inferior stent but obtained via internal jugular approach.
  • A Cook XL 5010 was placed interlocking with the first inferior stent followed by a 22 millimeter Melody Valve on 20 mm Ensemble in inferior stent and 22 mm Melody Valve on 18 millimeter Ensemble in superior stent.
  • Five weeks later, a Cook XL 5010 stent was deployed into the left pulmonary artery followed by a 26 millimeter Sapien S3.
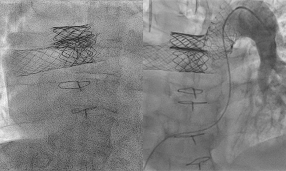
Both Melody valves are in stable position within the right pulmonary artery (left); after second catheterization, the Sapien S3 is in appropriate location within the left pulmonary artery (right).

The result

At the time of the second catheterization there was excellent function of the initial Melody valves, with only trivial insufficiency.

The patient reported an improvement in his shortness of breath at his next clinic follow-up.

“Double valve” is a feasible strategy in patients with native vessels that are too large for current TPVR.

The provider team

Melissa L. Perrotta, M.D.
Pediatric and Adult Congenital Cardiologist
Medical Director, Adult Congenital Heart Disease Program
Norton Children’s Heart Institute

Associate Professor, Pediatrics
UofL School of Medicine

Walter L. Sobczyk, M.D.
Pediatric and Adult Congenital Cardiologist
Norton Children’s Heart Institute

Associate Professor, Pediatrics
UofL School of Medicine

Edward S. Kim, M.D.
Pediatric and Adult Congenital Interventional Cardiologist
Medical Director, Pediatric and Adult Congenital Cardiac Catheterization
Norton Children’s Heart Institute

Joshua D. Kurtz, M.D.
Pediatric and Adult Congenital Interventional Cardiologist
Norton Children’s Heart Institute

Assistant Professor, Pediatrics
UofL School of Medicine