Comprehensive Care. Seamless Collaboration.

At Norton Healthcare, we believe outstanding care starts with a system that works for patients and providers. As a not-for-profit, integrated health system serving Louisville, Kentucky, and the surrounding region, we’re committed to ensuring that physicians and advanced practice providers have the tools, resources and support to care for patients across every stage of life and in every setting.

Whether you’re managing complex inpatient cases or coordinating care across outpatient environments, or simply seeking a health system that values its patients — and its clinicians —Norton Healthcare is here to support you.

Why Choose Norton Healthcare

With more than 400 locations of care, Norton Healthcare offers robust systemwide connectivity designed to support continuity of care. Our reach extends across Kentucky and Southern Indiana, enabling you to help patients access the care they need, where and when they need it.

  • More than 340 outpatient locations
  • Eight hospitals
  • Six affiliate hospitals

See all locations

Regional Subspecialty Care Hubs Keeping Advance Services Close to Home

We know your time is valuable. That’s why we offer free access to Norton EpicCare Link, an integrated, digital tool to streamline referrals and consultations, coordinate care and provide seamless access to patient records

  • Refer a patient to adult specialty providers and diagnostic services.
  • View real-time referral status for any of your patient referrals.
  • Ensure continuity of care, as information is available almost instantly for any patient encounter across the Norton Healthcare system, including hospitalizations, emergency visits and specialist referrals.
  • Safely communicate with Norton Healthcare providers through HIPAA compliant messaging tool.

Norton Healthcare Patient Capacity Management  Center: (888) 4-U-NORTON

  • Real-time support for admissions, scheduling and direct transfers
  • Staffed by trained medical personnel
• Six American College of Cardiology-accredited chest pain center hospitals, a chest pain clinic and cardiac rehabilitation centers create a network designed to care for any type of chest pain.
A network of stroke care across four Norton Healthcare adult-service hospitals in Louisville. This network includes Norton Brownsboro Hospital, a DNV-accredited Comprehensive Stroke Center, in addition to two Primary Stroke Centers and an Acute Stroke Ready Hospital.
  • Norton Research Institute offers researchers the clinical expertise, advanced technologies and state-of-the-art facilities of a private, not-for-profit health care system, paired with robust research support resources to conduct studies ranging from bench to bedside.
  • More than 750 active clinical research studies and trials
  • Robust portfolio of Phase 1, Phase 2 and Phase 3 clinical trials

Search All Active Clinical Trials and Studies

Norton Healthcare has a comprehensive network of providers in more than 30 disciplines of specialty care.  From subspecialized surgeons to behavioral health therapists to midwives, our team of providers represents the full spectrum of the highest level of advanced care.

See All Specialty Centers

Providers across the region count on Norton Healthcare’s highly specialized institutes and centers of excellence to co-manage complex conditions. Each is staffed with multidisciplinary teams and equipped with advanced diagnostic, procedural and surgical capabilities.

You’ll have direct referral access to:

Norton Healthcare is more than a network — it’s an organization that values professional development, quality practice and well-being.

11

specialties ranked as high performing in 2025 by U.S. News & World Report

No. 1

hospital in Louisville in 2025, as ranked by U.S. News & World Report

7

achievement awards received from the American Heart Association’s Get With The Guidelines program

Related Stories

img-blur-shadow
October 2025 Norton Medical Group New Providers
img-blur-shadow
Using ECMO for amniotic fluid embolism contributes to survival in dangerous case
img-blur-shadow
Peter L. Albrecht Jr., D.O., Advances Complex Aortic and Endovascular Care at Norton Heart & Vascular Institute
img-blur-shadow
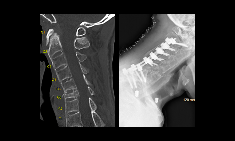
Case Study: Ankylosing spondylitis and trauma- Complex management with posterior instrumentation